Issuance and renewal of a driving license
admin2025-04-08T12:34:44+00:00Issuance and renewal of a driving license Latest Articles Contact Form FILL OUT THE CONTACT FORM AND I WILL CONTACT YOU TO MAKE AN APPOINTMENT! Contact
Issuance and renewal of a driving license Latest Articles Contact Form FILL OUT THE CONTACT FORM AND I WILL CONTACT YOU TO MAKE AN APPOINTMENT! Contact
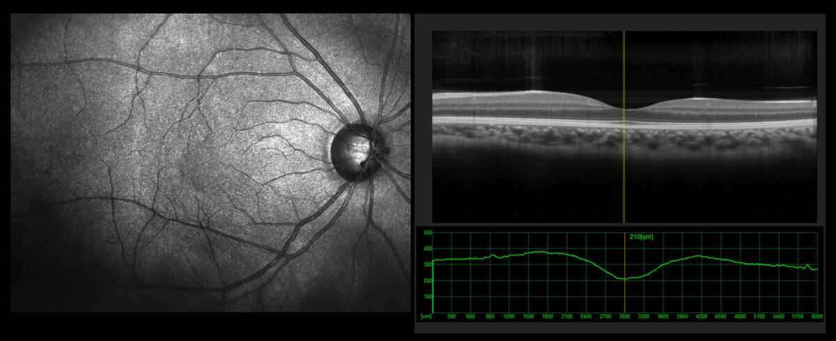
OCT of the macula Diagnosis of macular diseases Intravitreal anti-VEGF injections. Treatment of retinal vascular diseases (e.g. diabetic retinopathy, vein occlusion). Treatment of retinal tears with Argon laser photocoagulation. Latest Articles Contact Form FILL OUT THE CONTACT FORM AND I [...]